International Hepato-Pancreato-Biliary Association
Left lateral sectionectomy [case 12]
Introduction
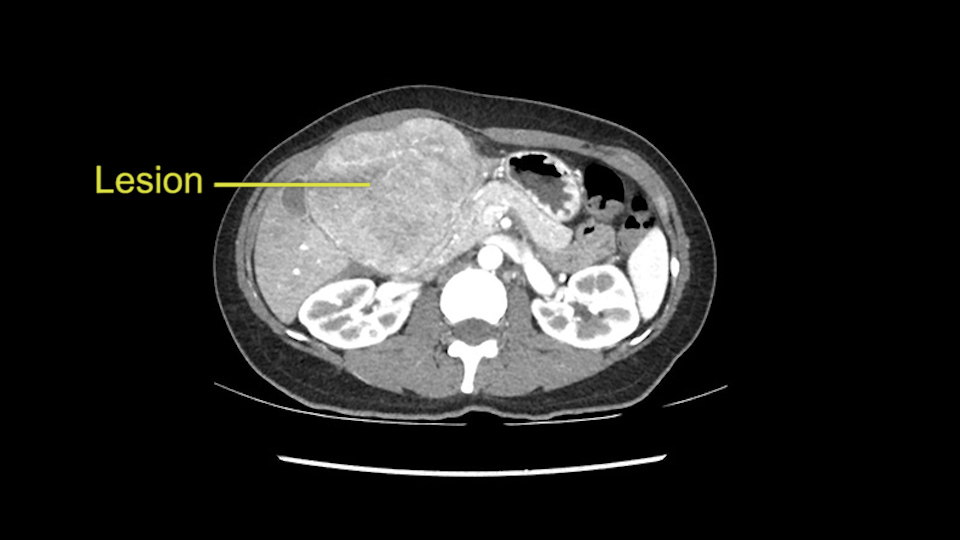
Clinical History
This is a 41 year old woman with chronic Hepatitis B who felt a protrusion in her right upper quadrant. On imaging, a hypervascular liver lesion measuring 9.6 x 9.1 x 9.5cm spanning Segment 4b and 3 was found. Her Alpha-Fetoprotein measured 26000. It is a suspected fibrolamellar HCC/hepatoma or possible benign adenoma. The plan is to perform a left lateral sectionectomy.

Acknowledgements
Thank you to the HPB Surgeons who contribute their time and expertise. This content is made possible through educational grants from:
Case 28

Views and opinions expressed in all videos and module content are those of the individual surgeon and solely intended for surgical education purposes. We do not endorse any product, treatment or therapy.
Corporate Partners
If you are interested in becoming a Corporate Partner of the IHBPA please contact industry@ihpba.org
Find out more
Go to myHPB
