International Hepato-Pancreato-Biliary Association
Whipple (pancreaticoduodenectomy) [case 7]
Introduction
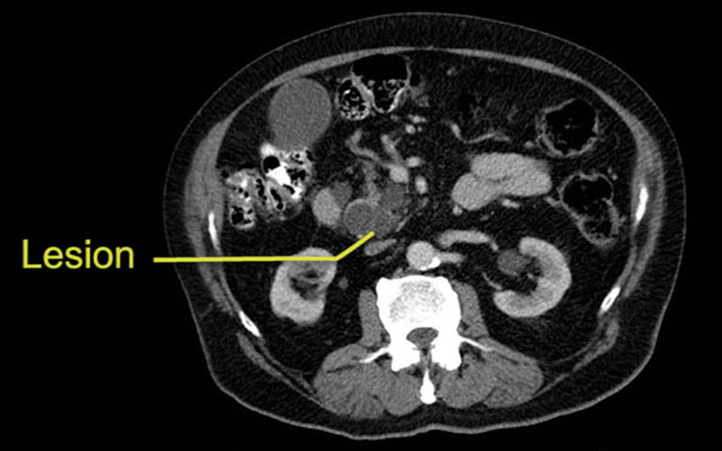
Clinical History
An 83-year old man presented with painless jaundice. On ERCP he was found to have an ampullary lesion, a biopsy-proven adenocarcinoma. His initial bilirubin level was in the 400s, but returned to normal levels after he was stented pre-operatively. Our plan is to prepare him for a Whipple operation (pancreaticoduodenectomy).

Acknowledgements
Thank you to the HPB Surgeons who contribute their time and expertise. This content is made possible through educational grants from:
Case 28

Views and opinions expressed in all videos and module content are those of the individual surgeon and solely intended for surgical education purposes. We do not endorse any product, treatment or therapy.
Corporate Partners
If you are interested in becoming a Corporate Partner of the IHBPA please contact industry@ihpba.org
Find out more
Go to myHPB
