Whipple (pancreaticoduodenectomy) [case 7]

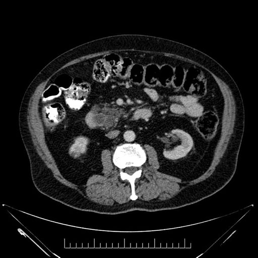
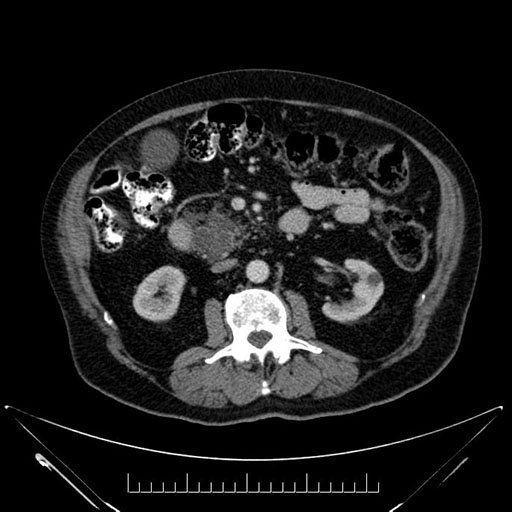
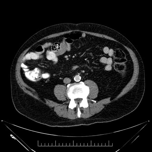
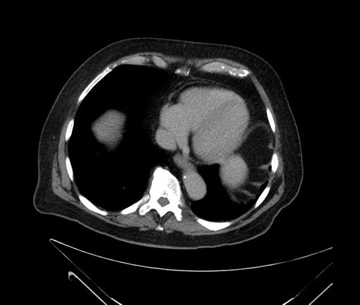
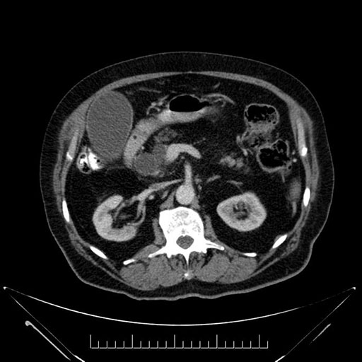
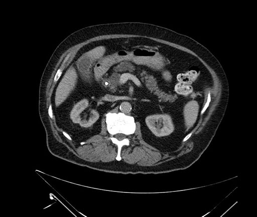
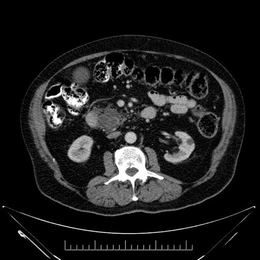
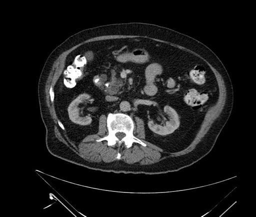
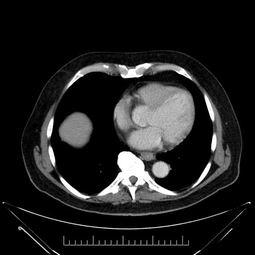
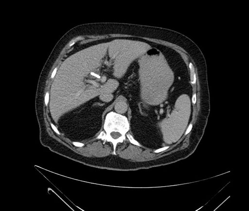
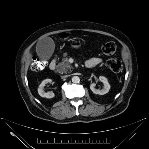
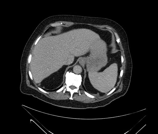
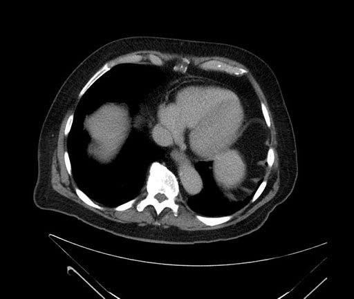
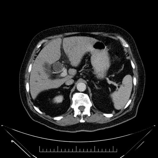
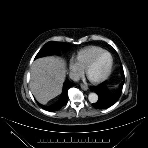
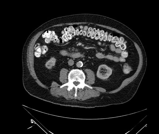
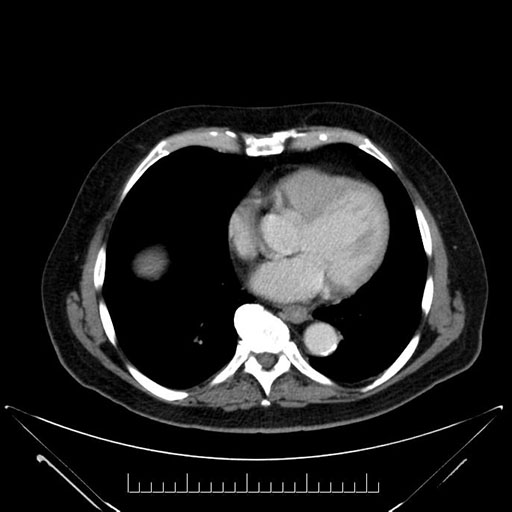
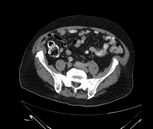
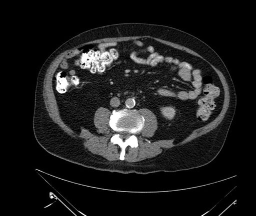
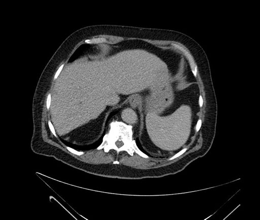
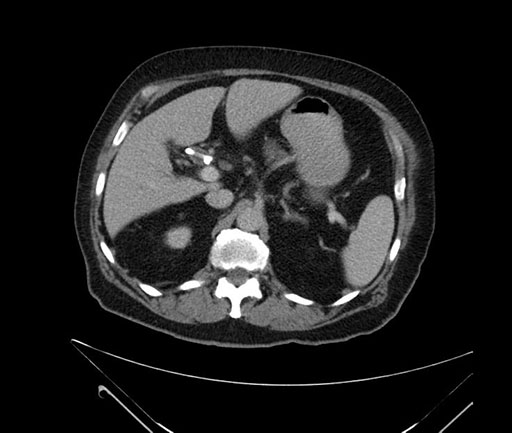
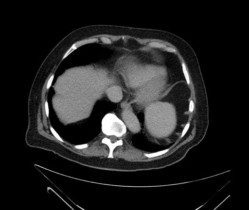
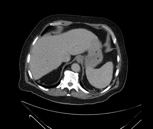
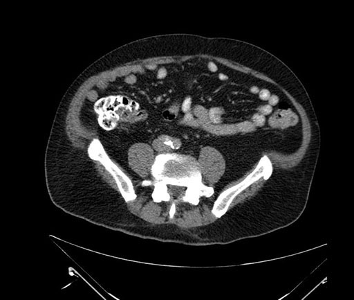
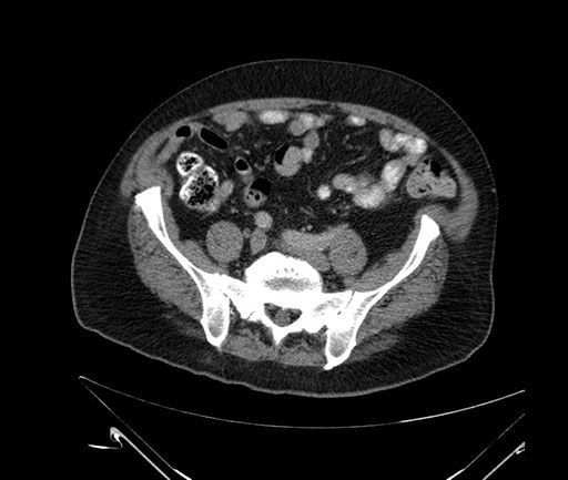
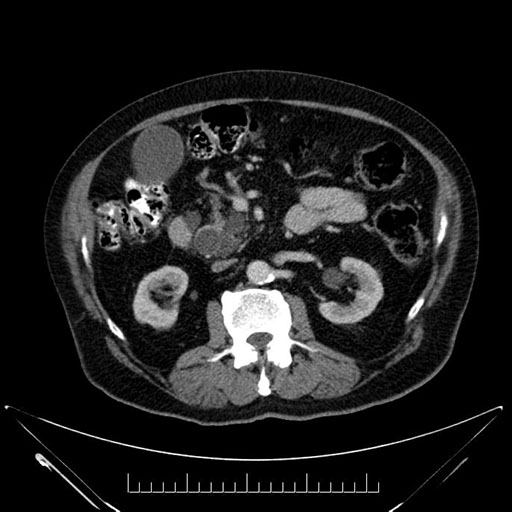
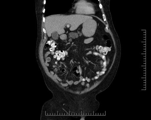
Imaging Analysis

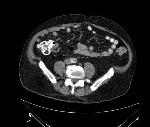
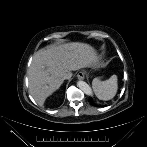
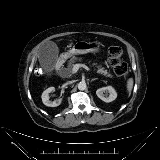
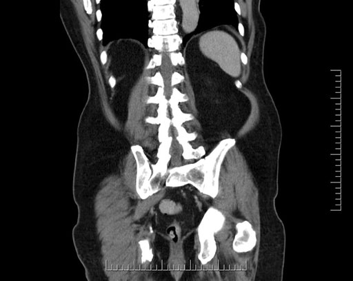
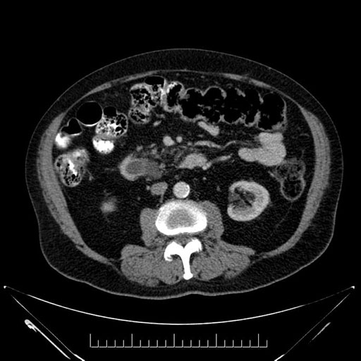
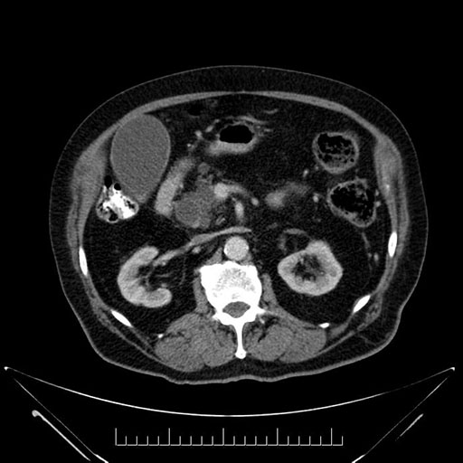
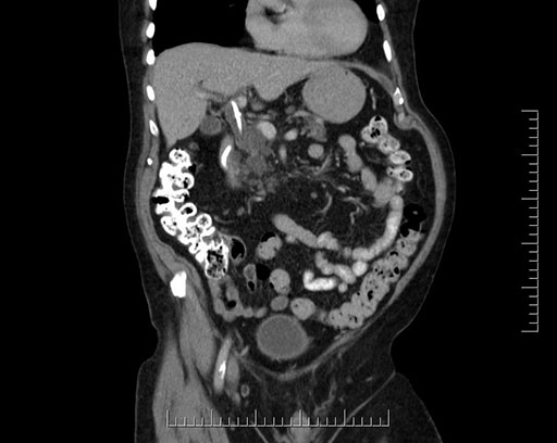
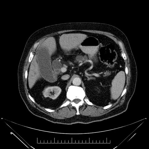
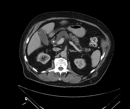
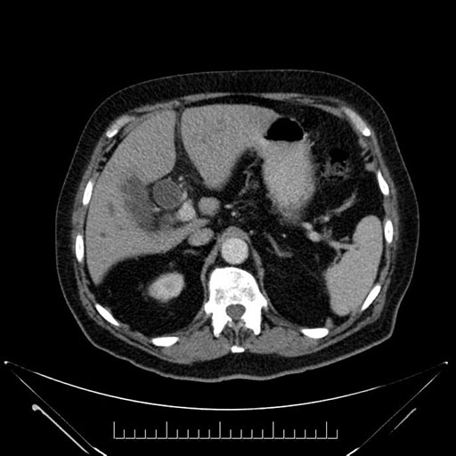
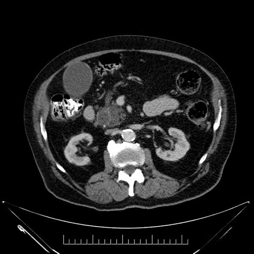
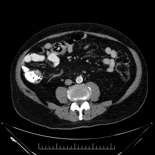
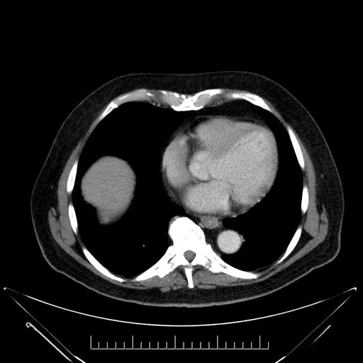
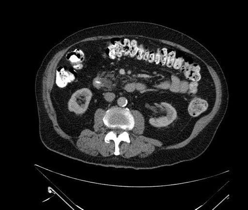
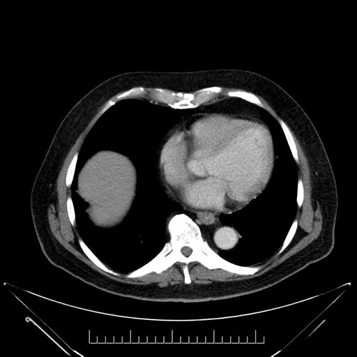
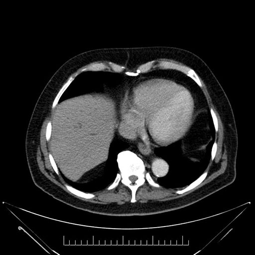
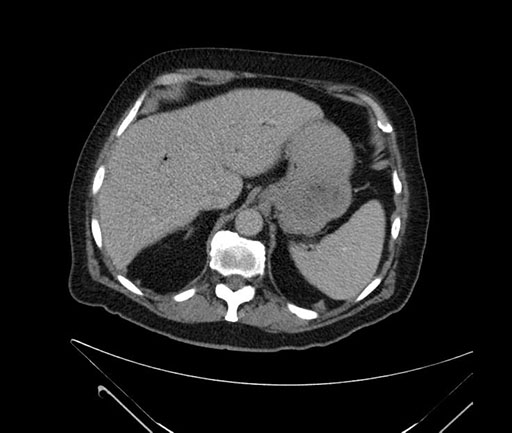
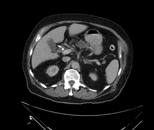
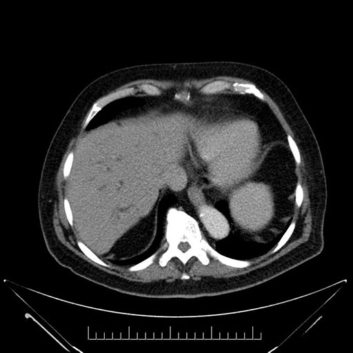
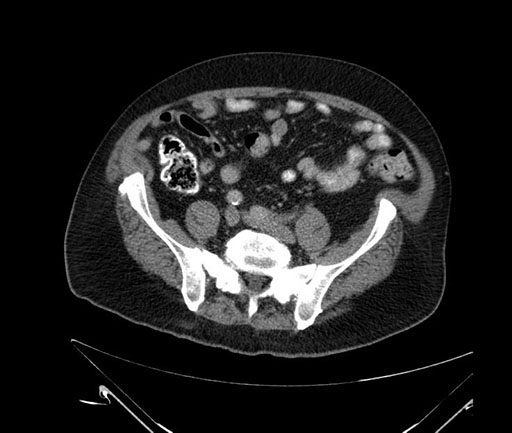
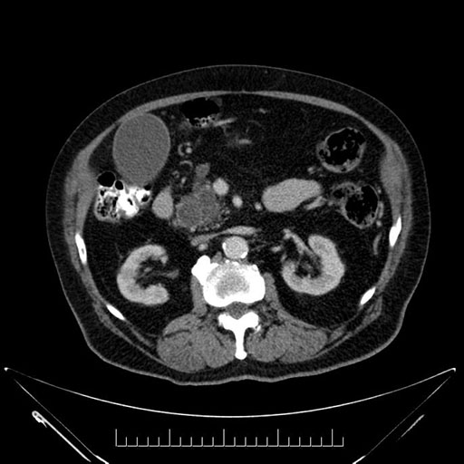
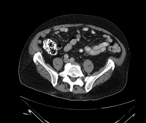
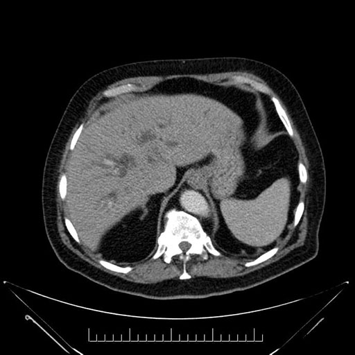
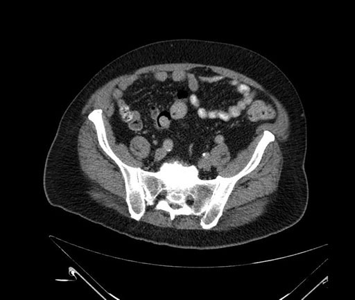
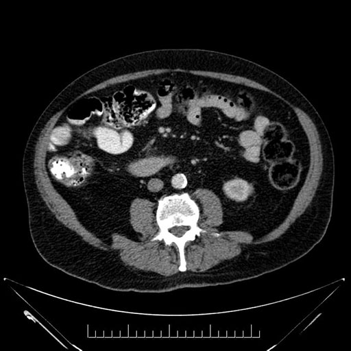
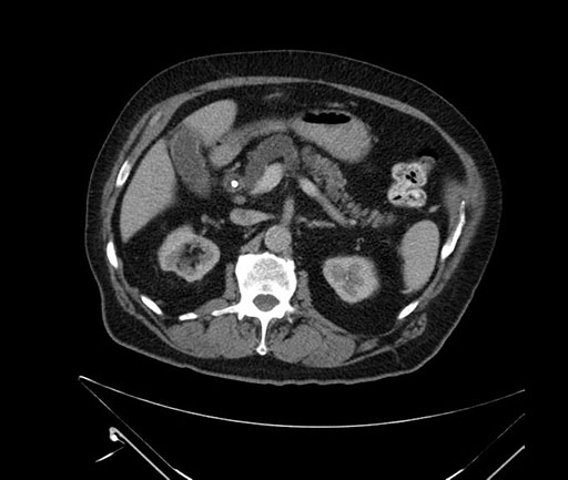
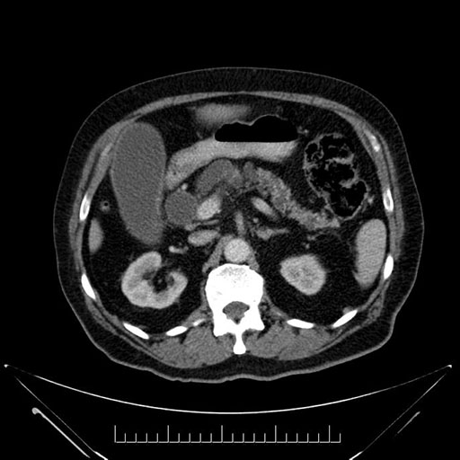
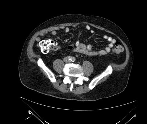
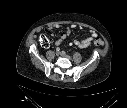
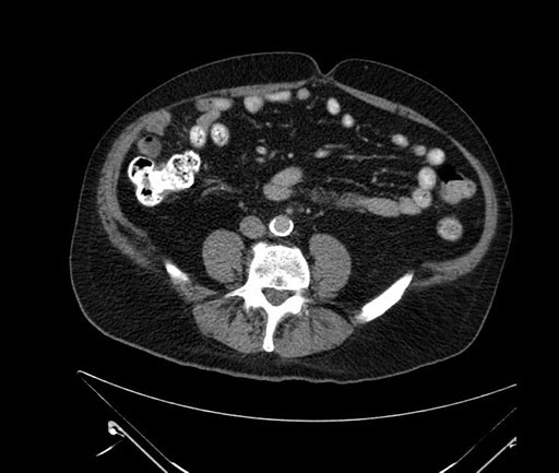
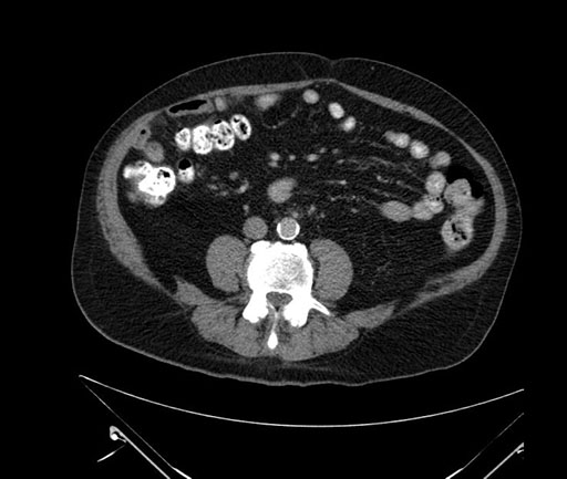
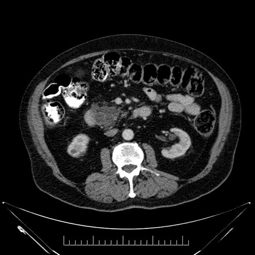
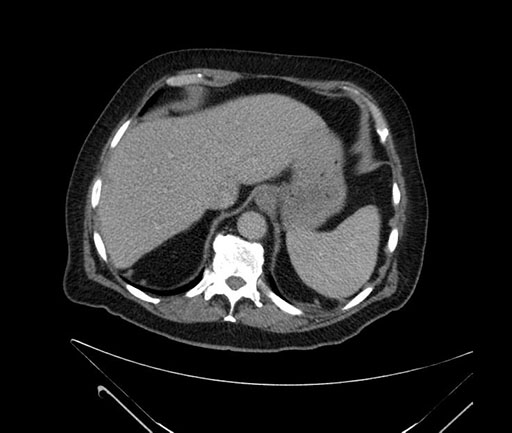
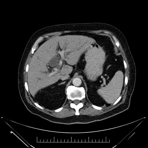
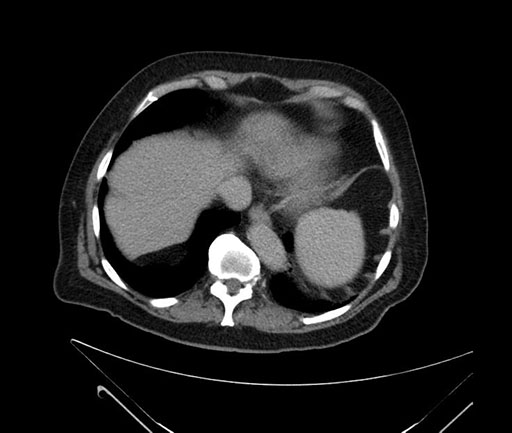
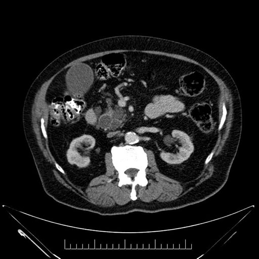
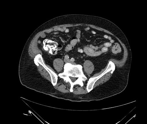
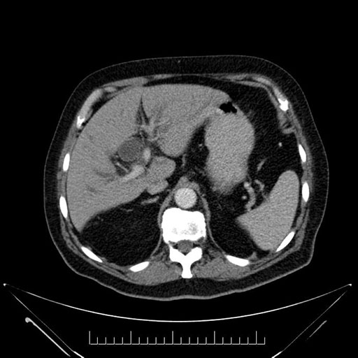
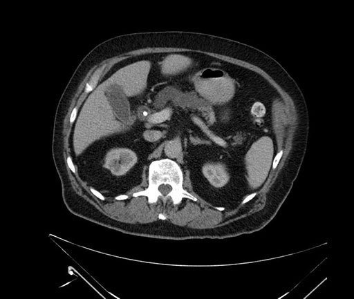
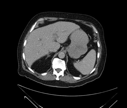
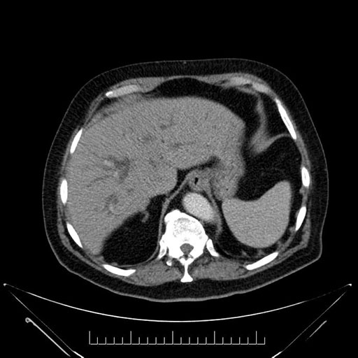
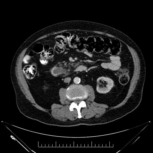
Look through the patient's CT scan to identify any areas of concern for the necessary procedure.

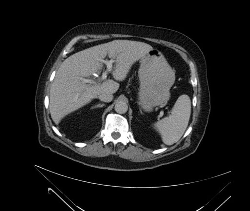
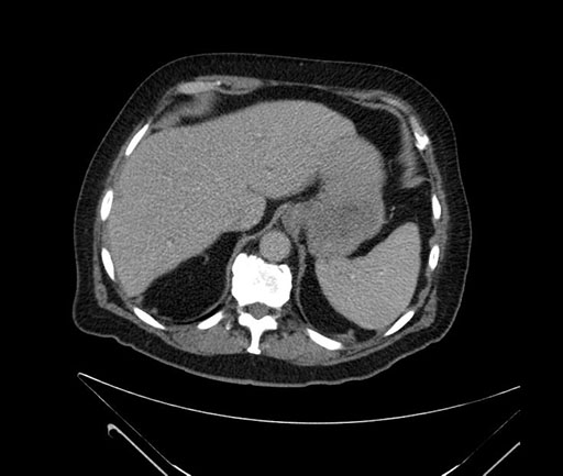
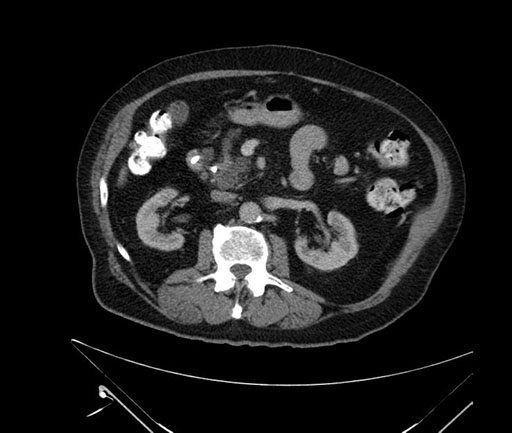
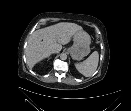
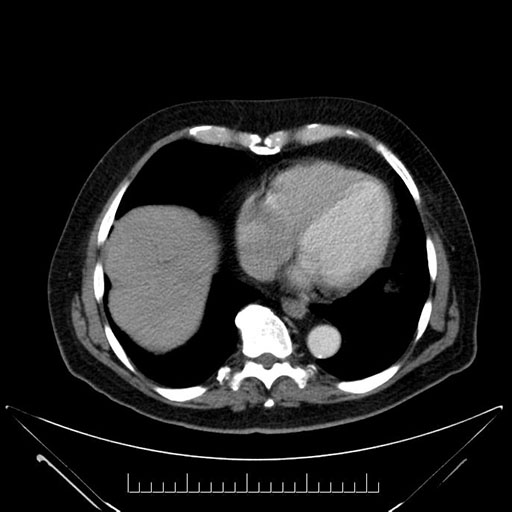
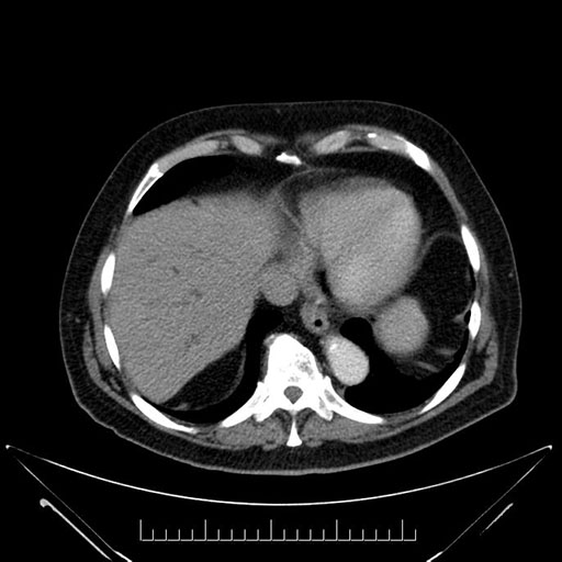
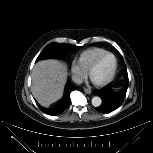
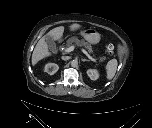
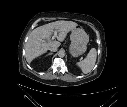
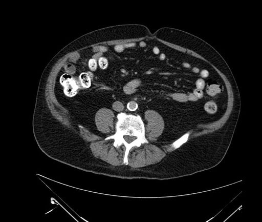
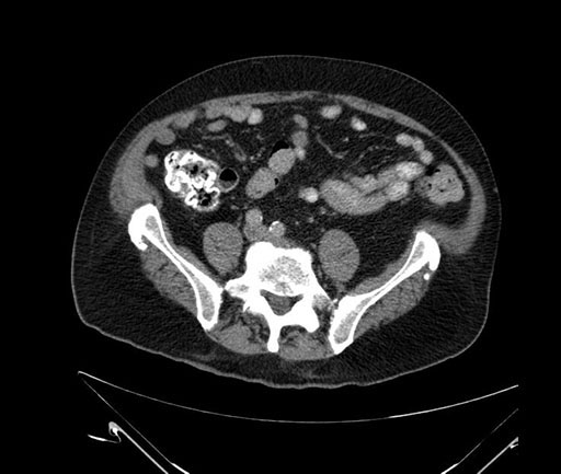
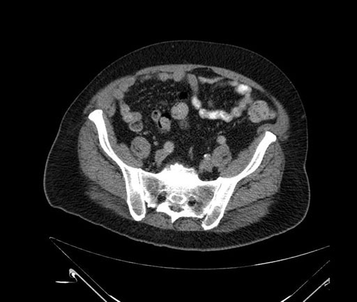
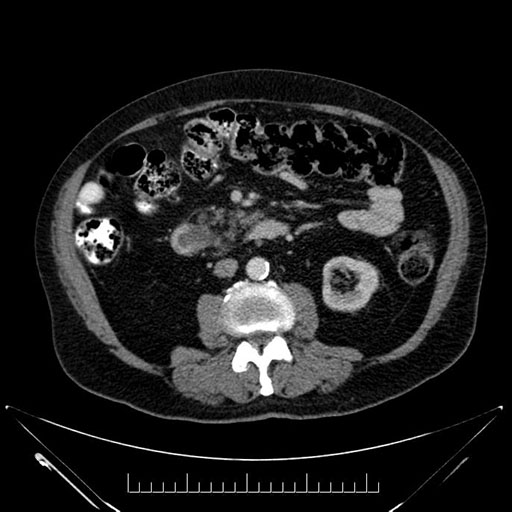
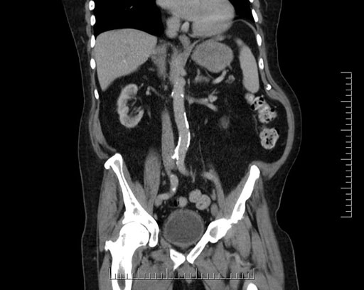
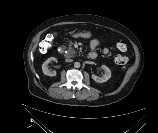
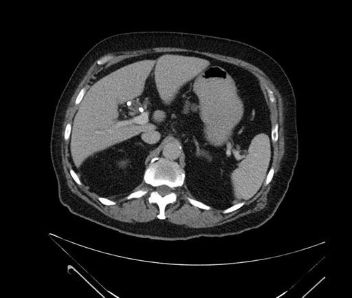
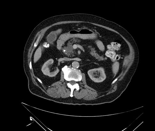
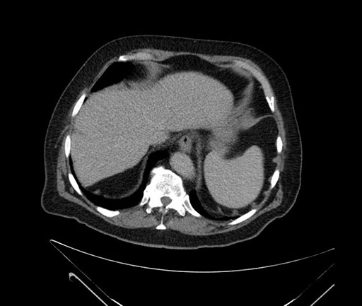
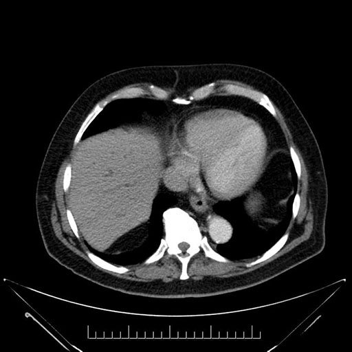
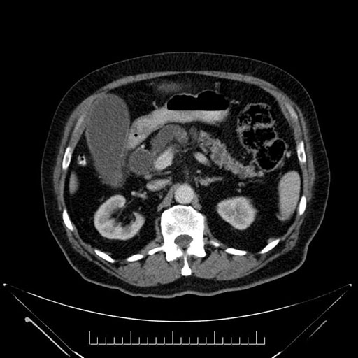
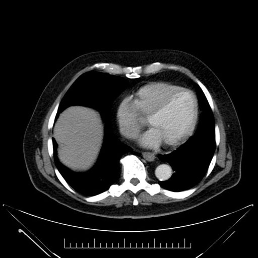
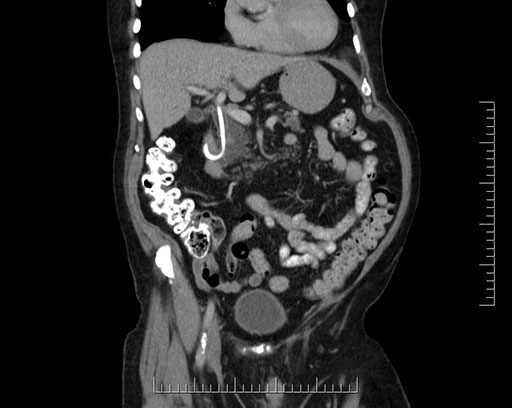
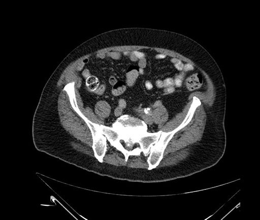
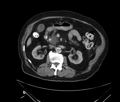
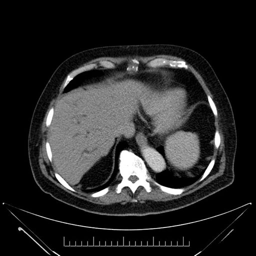
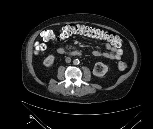
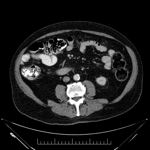
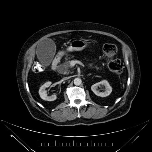
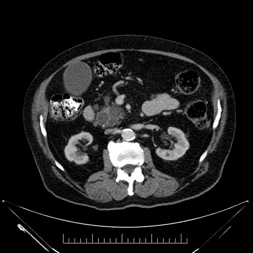
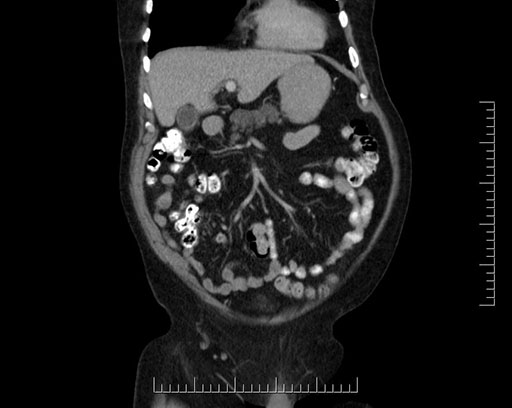
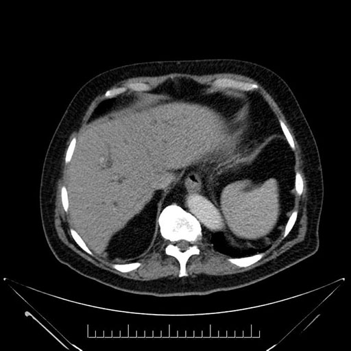
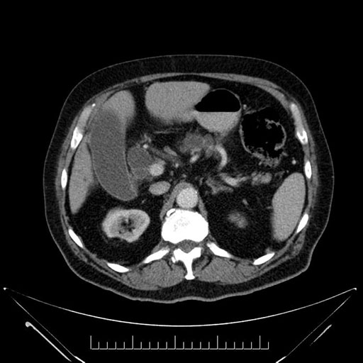
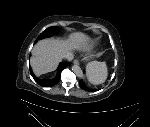
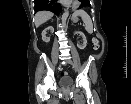
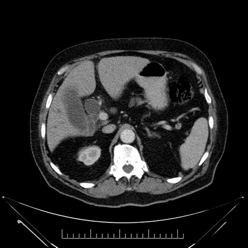
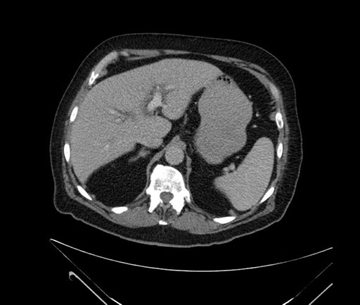
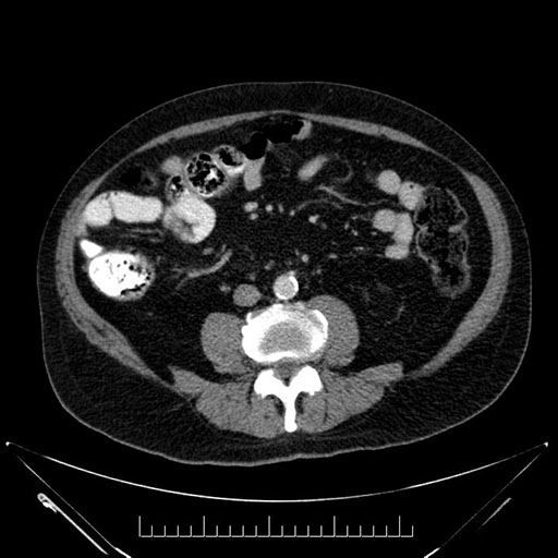
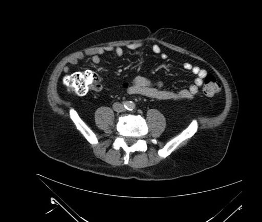
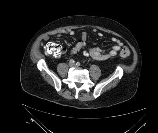
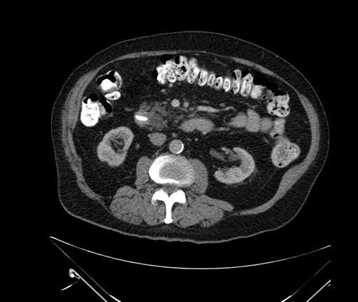
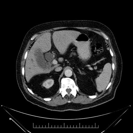
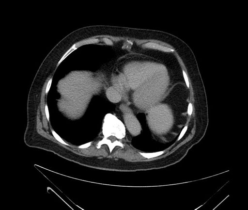
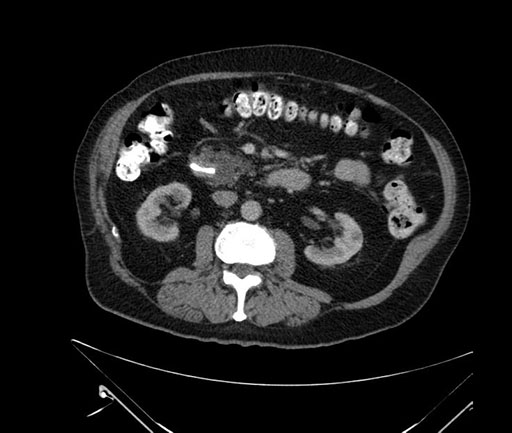
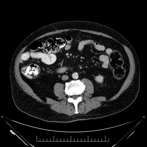
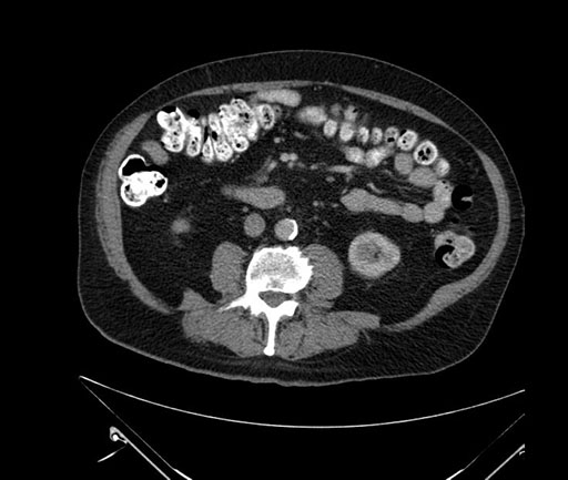
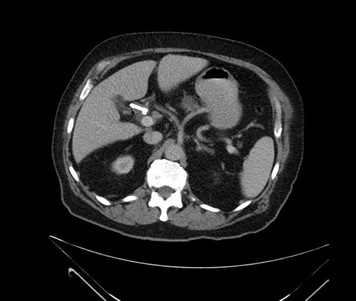
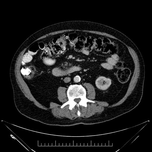
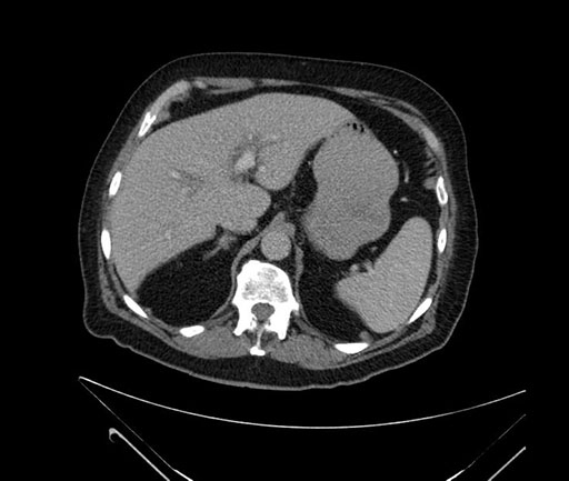
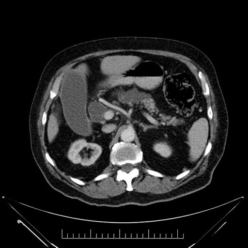
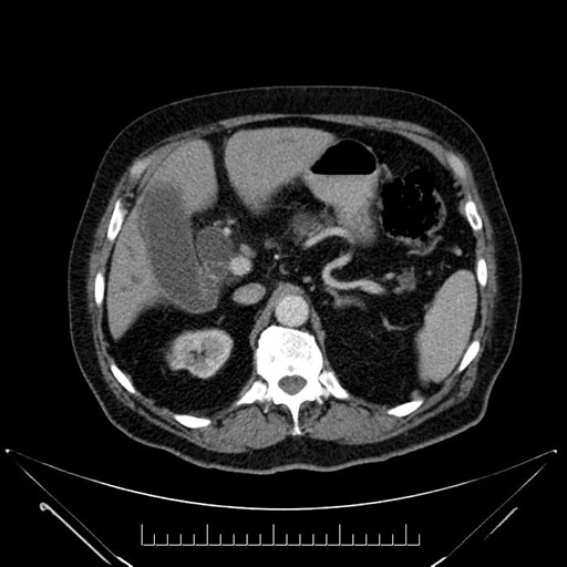
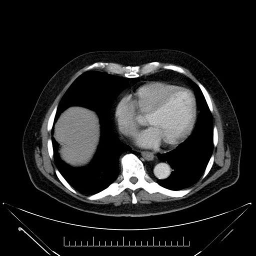
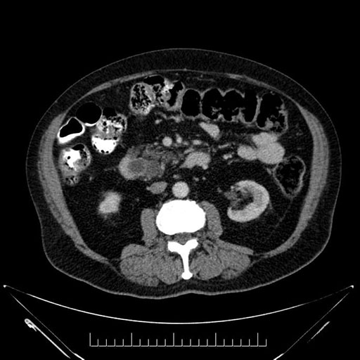
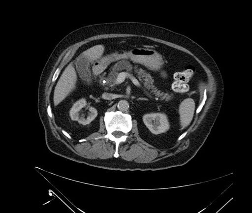
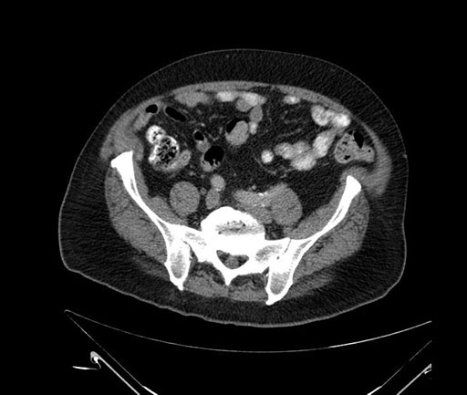
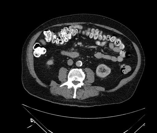
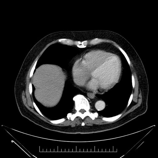
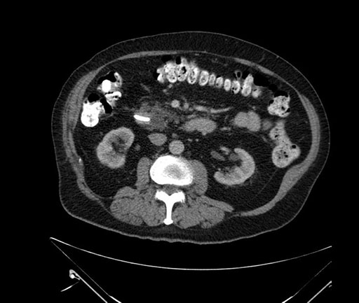
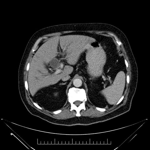
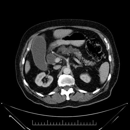
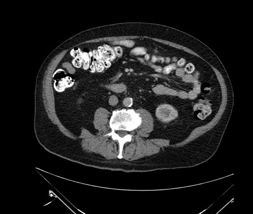
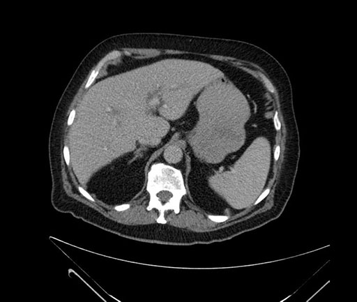
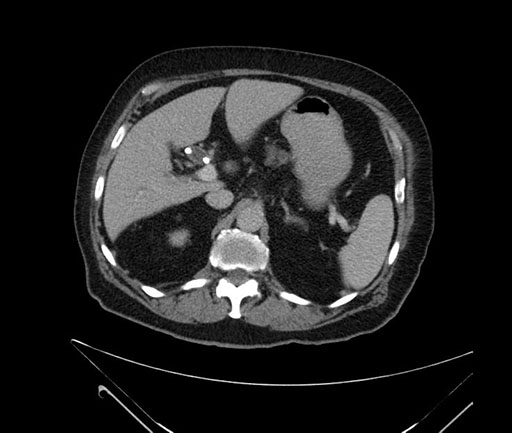
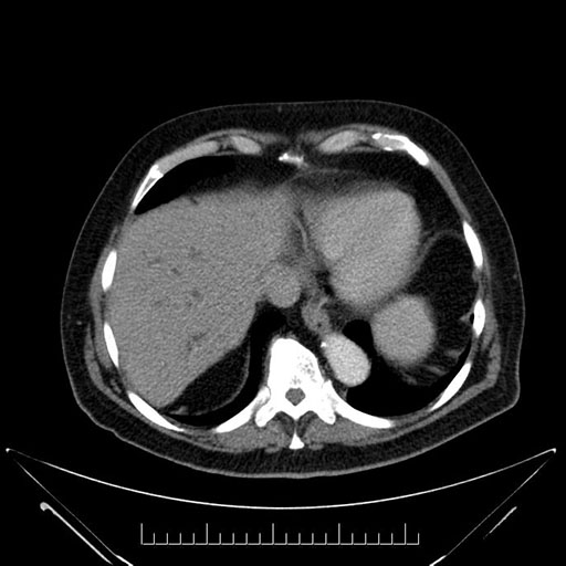
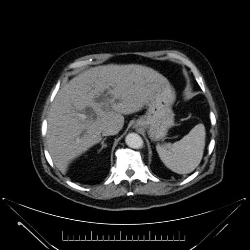
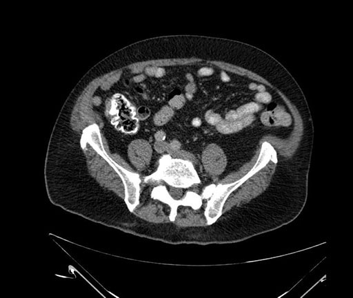
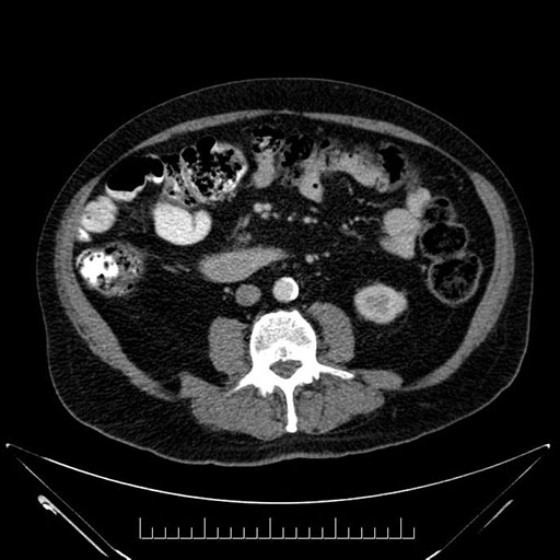
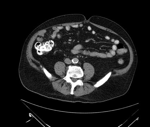
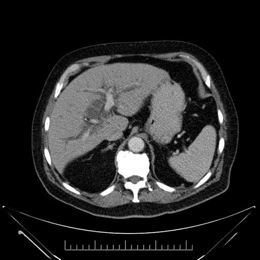
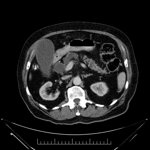
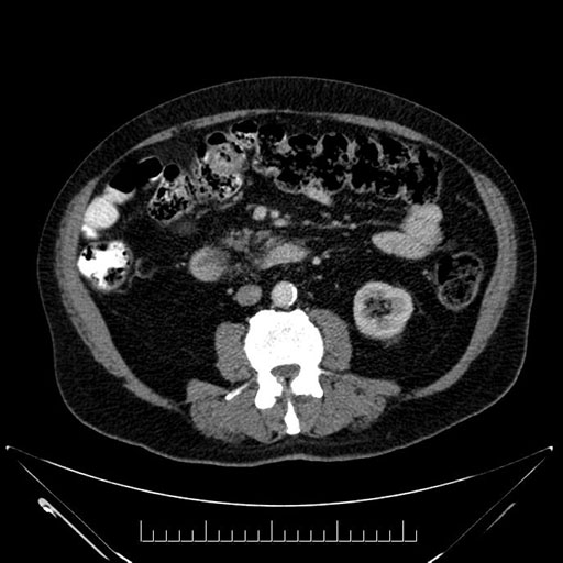
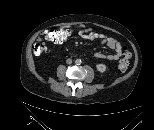
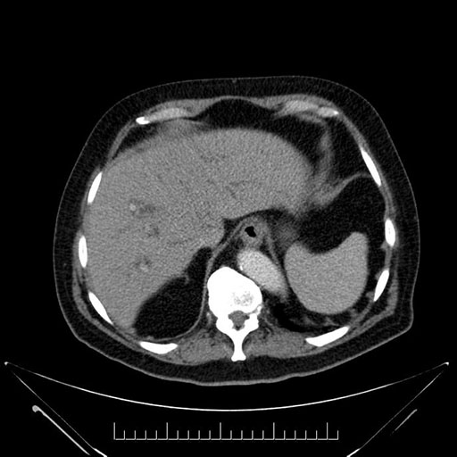
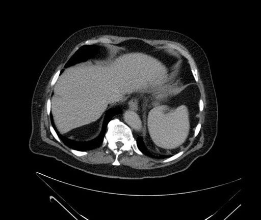
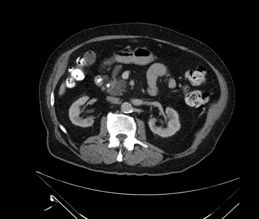
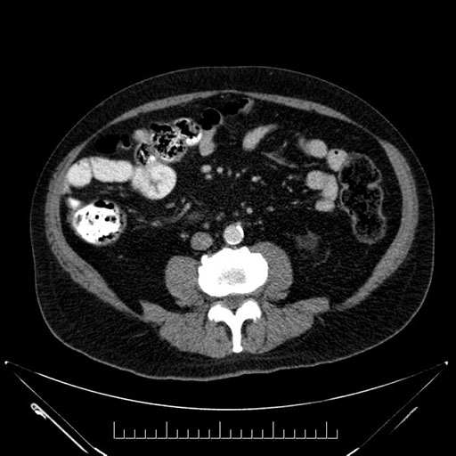
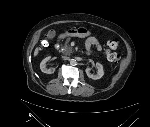
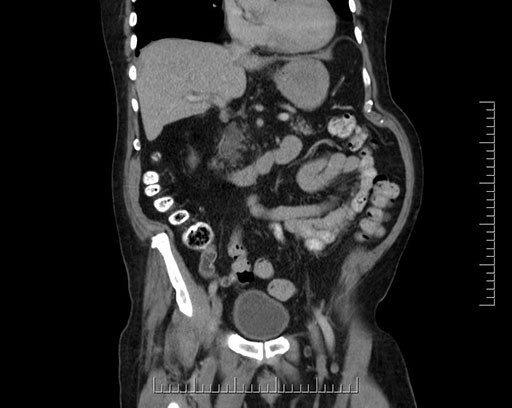
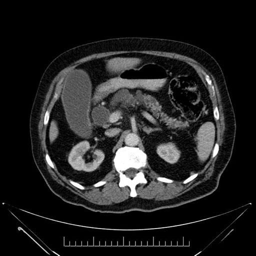
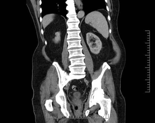
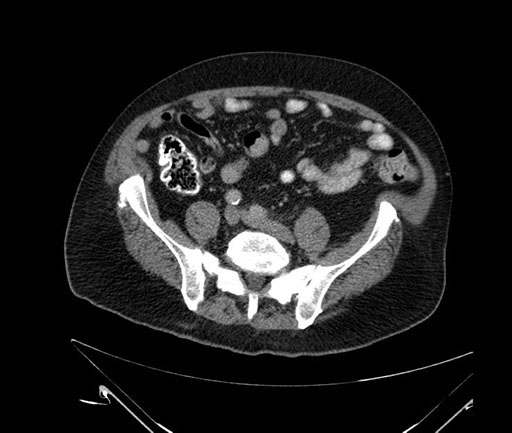
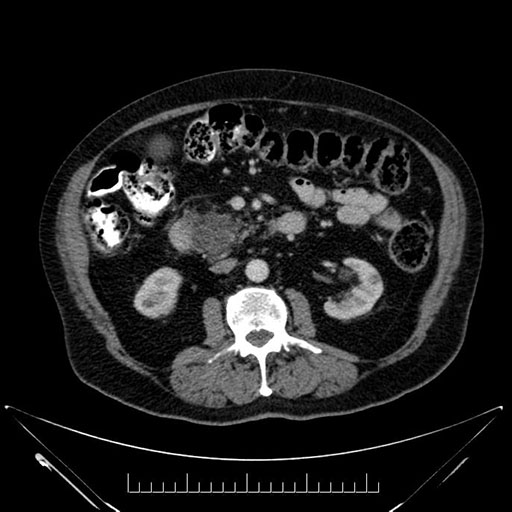
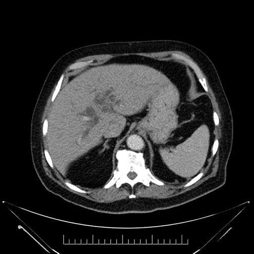
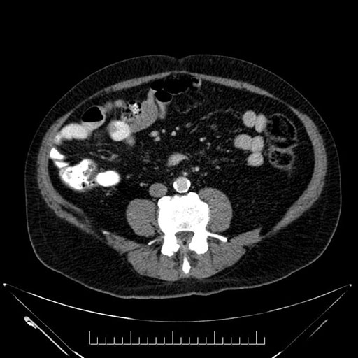
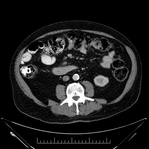
Axial - 3 months prior

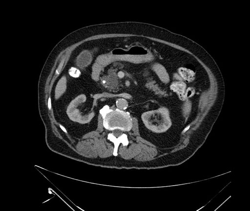
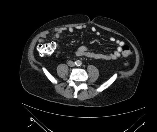
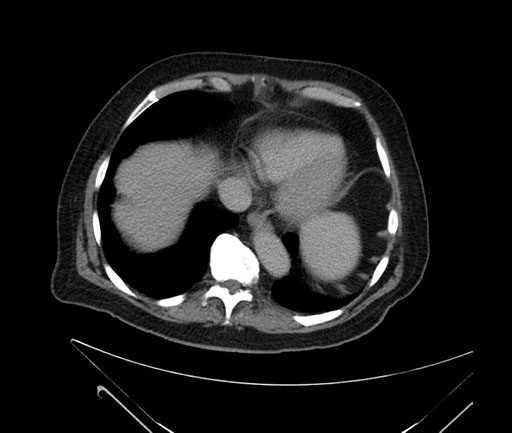
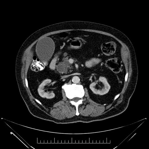
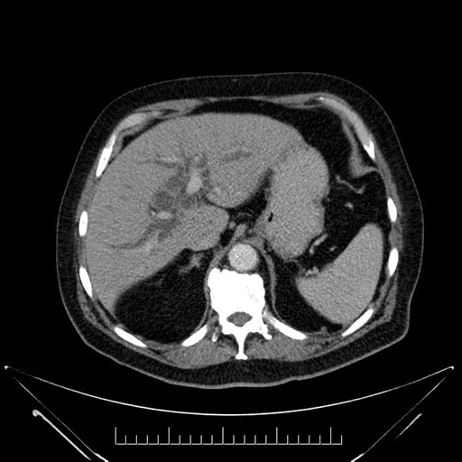
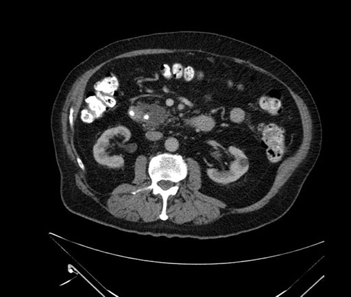
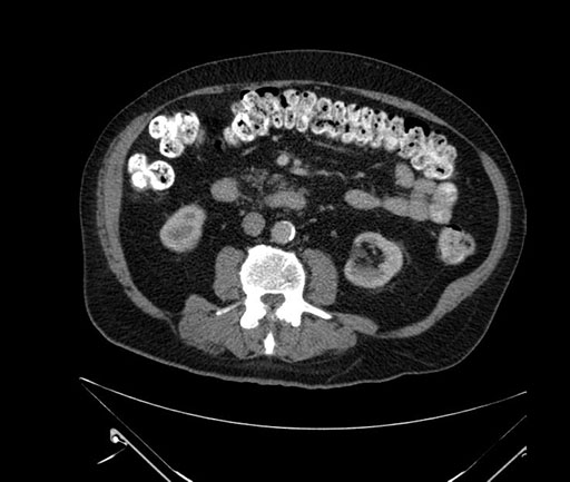
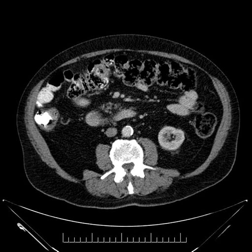
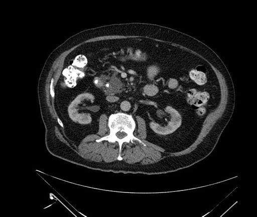
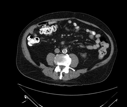
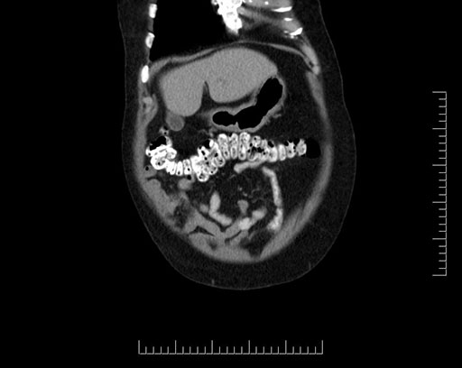
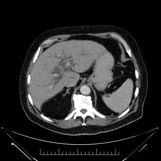
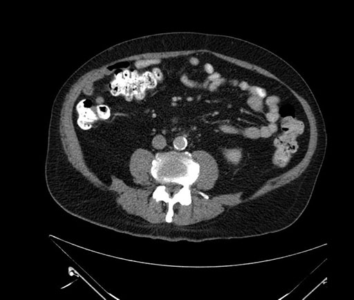
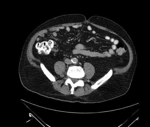
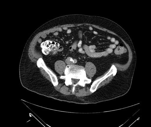
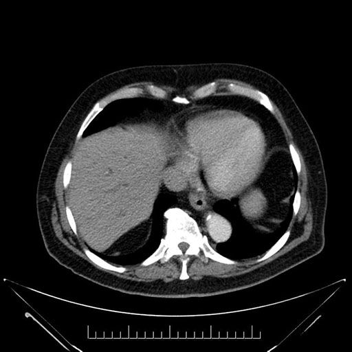
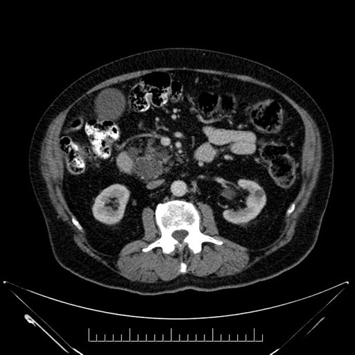
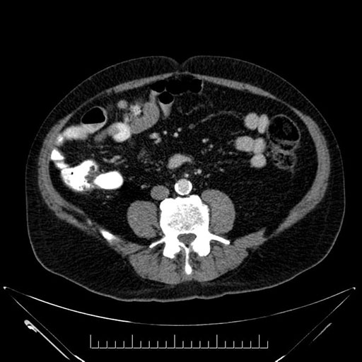
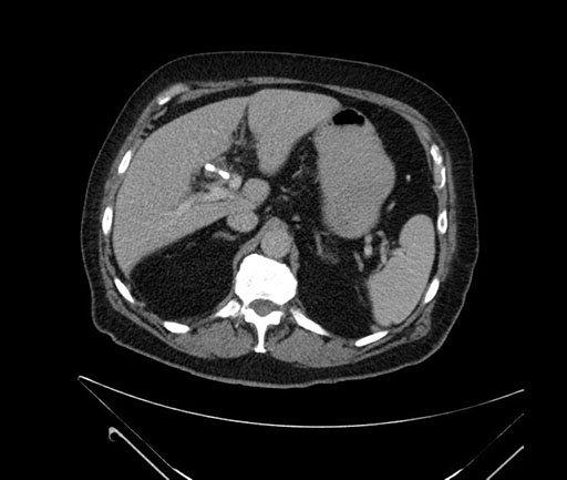
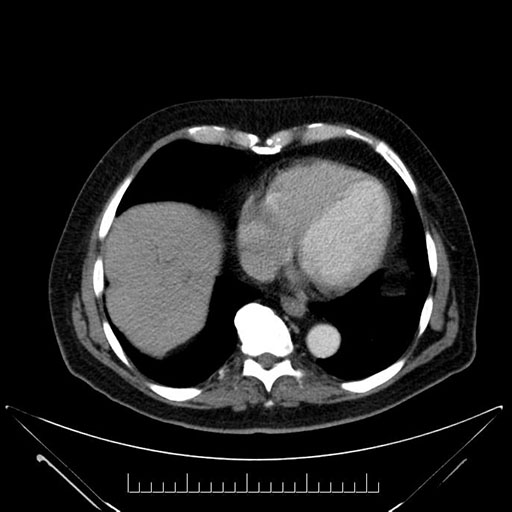
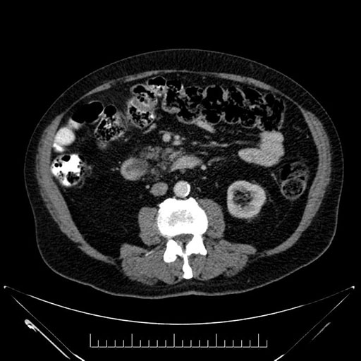
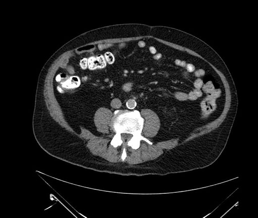
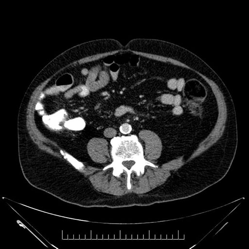
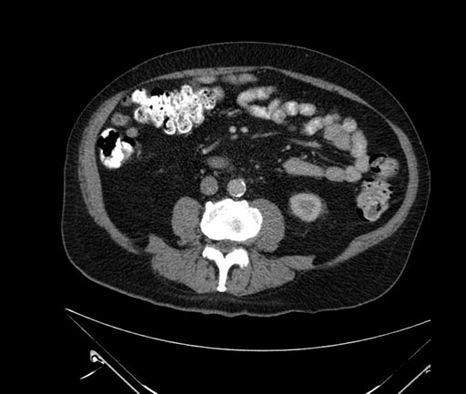
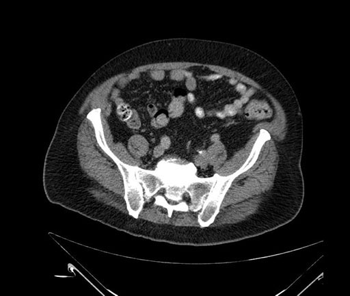
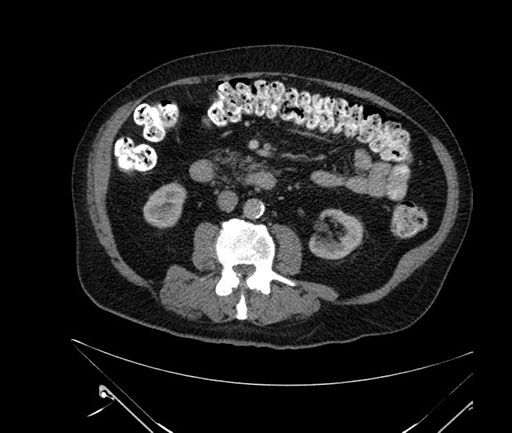
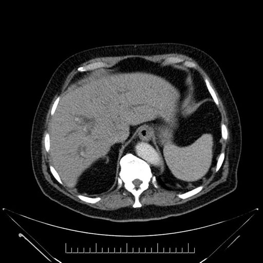
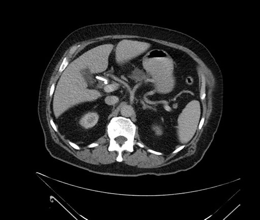
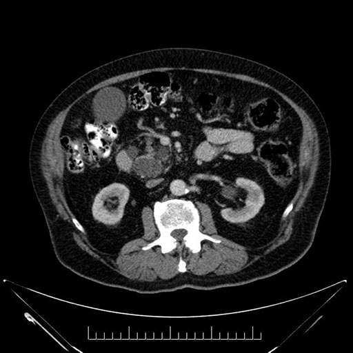
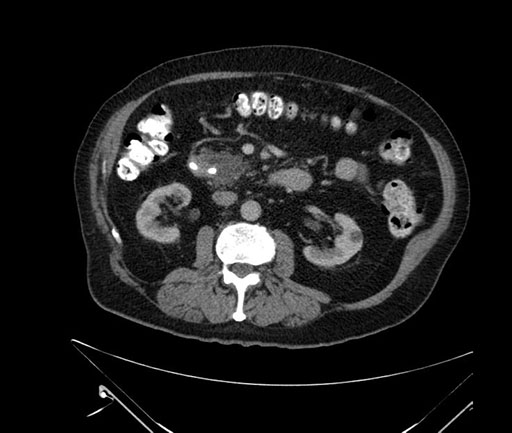
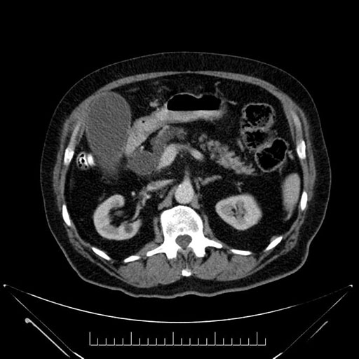
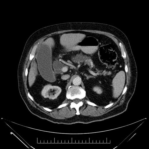
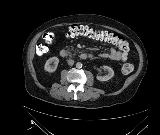
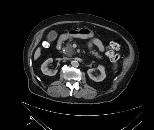
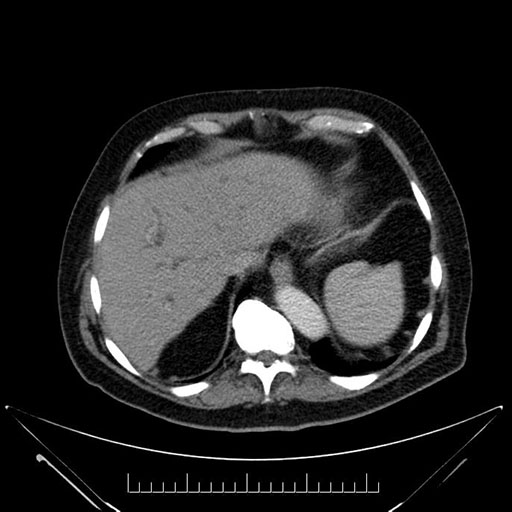
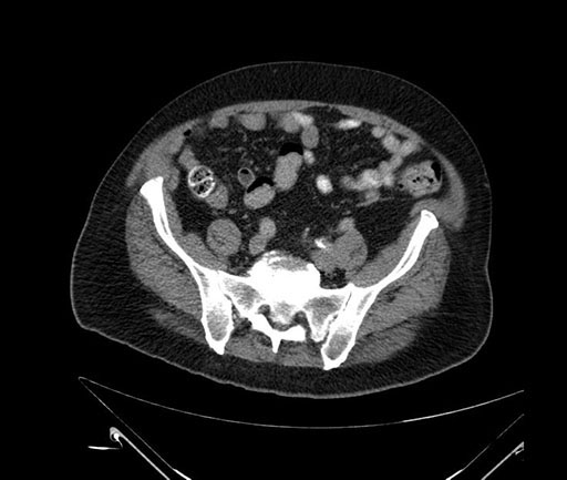
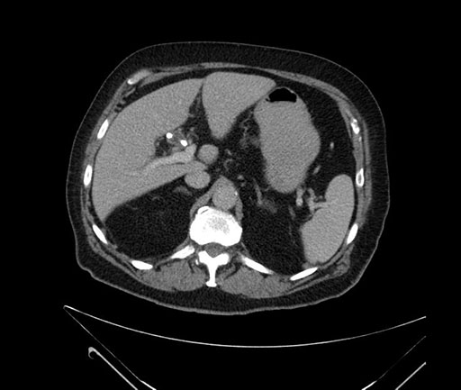
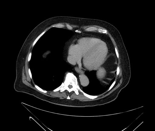
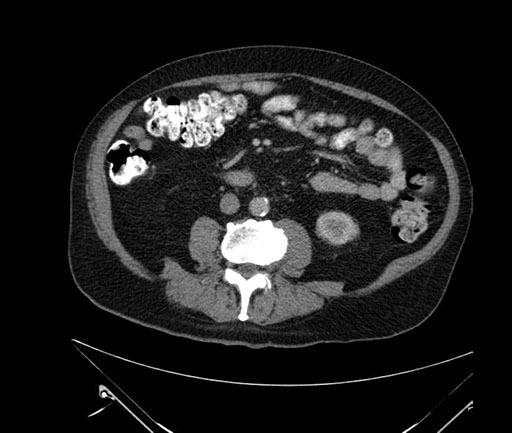
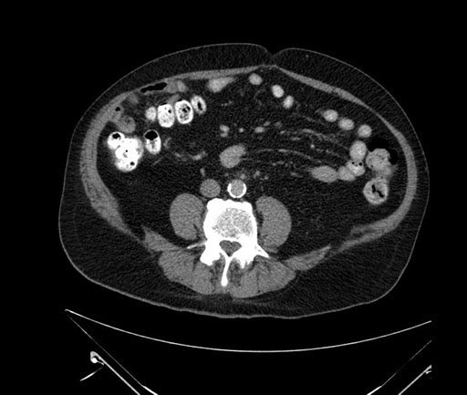
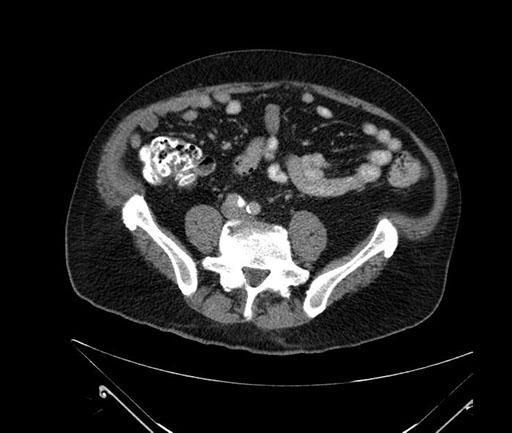
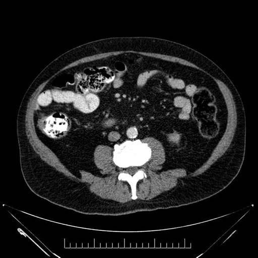
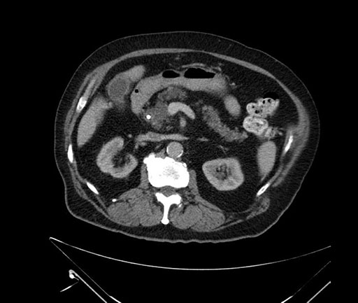
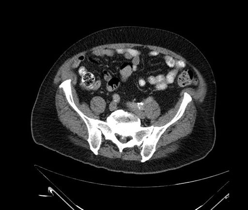
Axial - stented

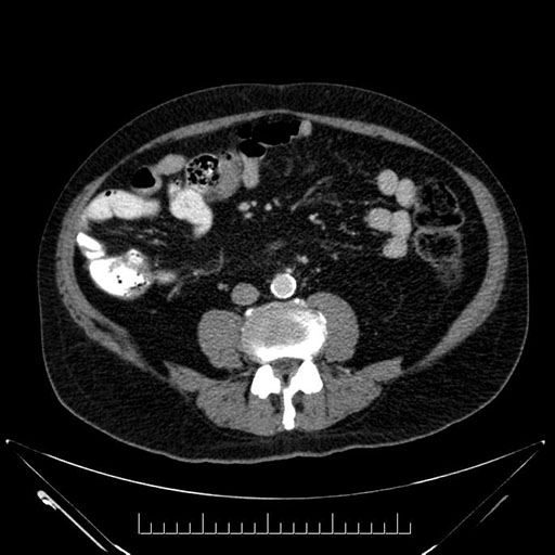
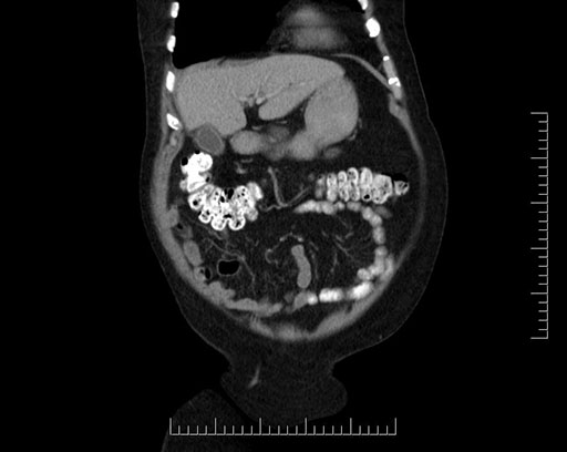
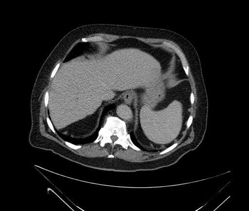
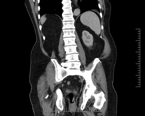
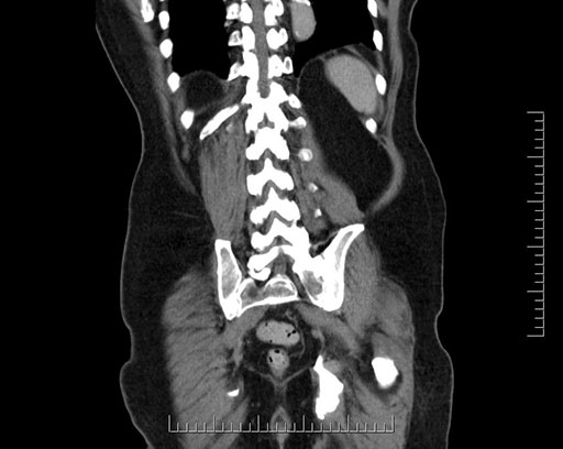
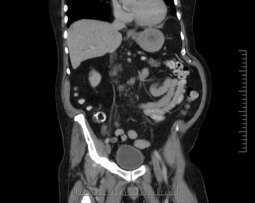
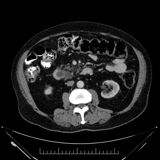
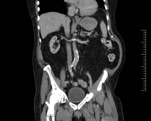
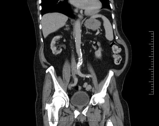
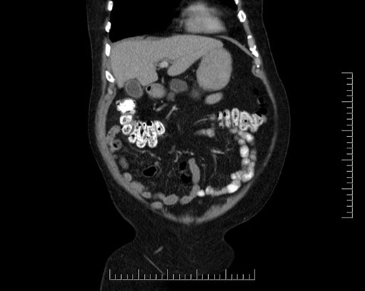
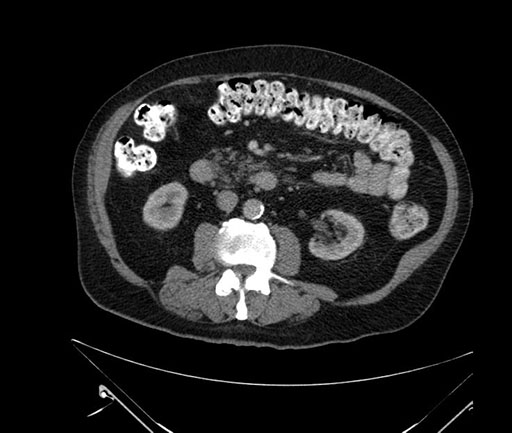
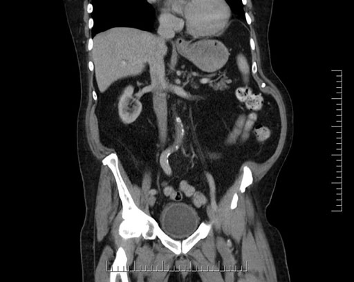
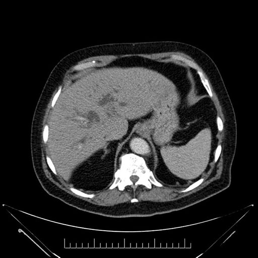
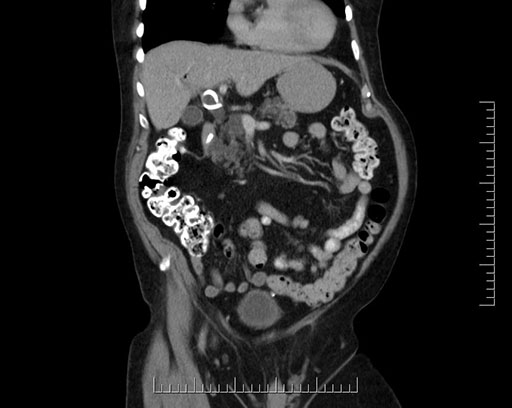
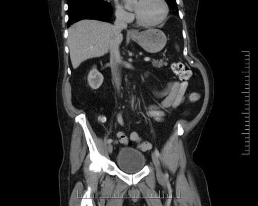
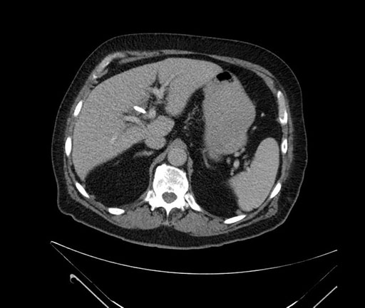
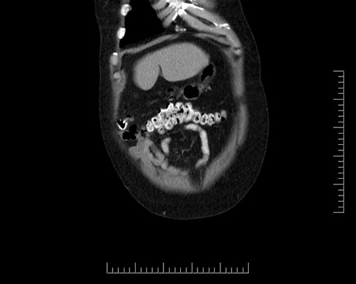
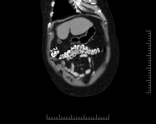
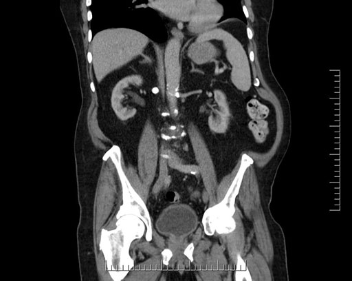
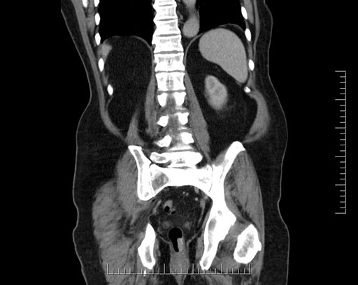
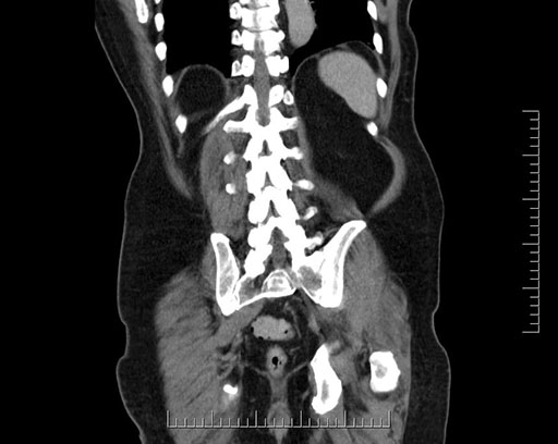
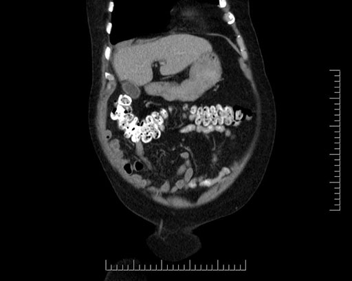
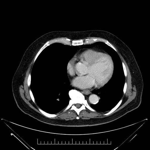
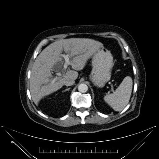
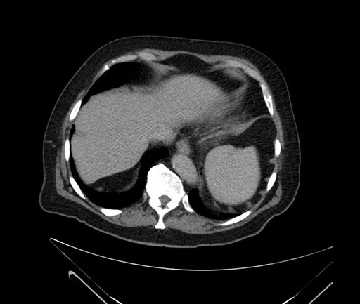
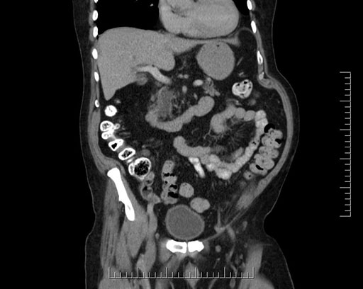
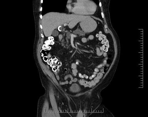
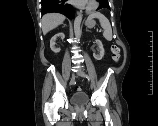
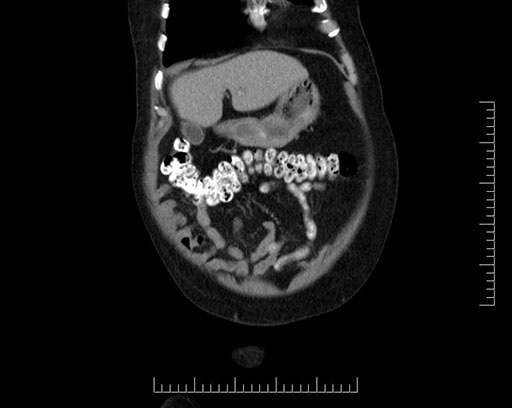
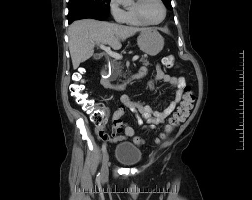
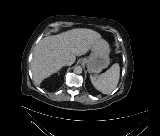
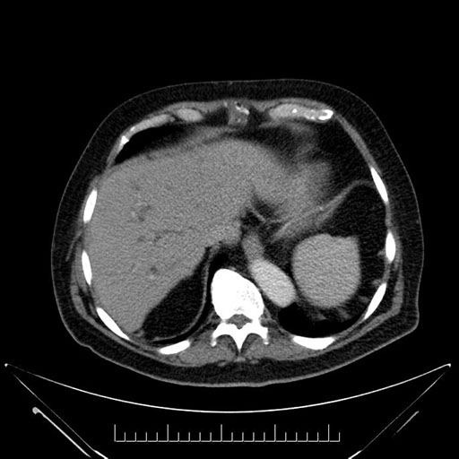
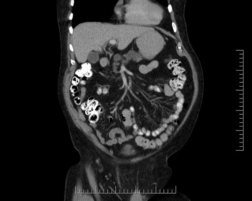
Coronal - stented

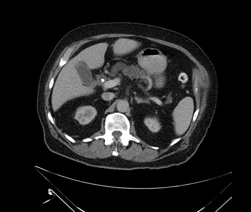
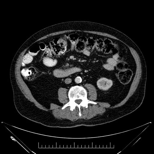
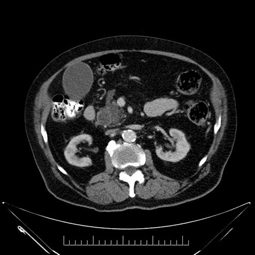
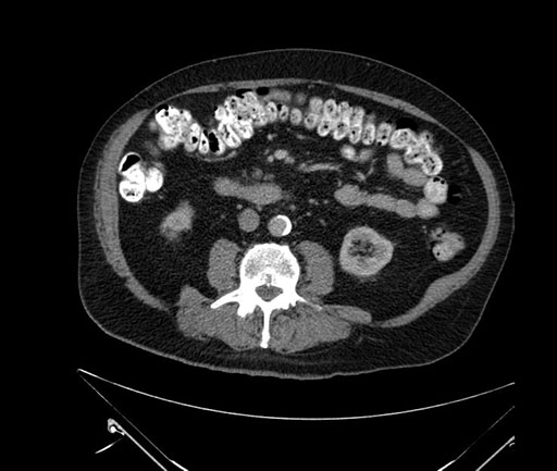
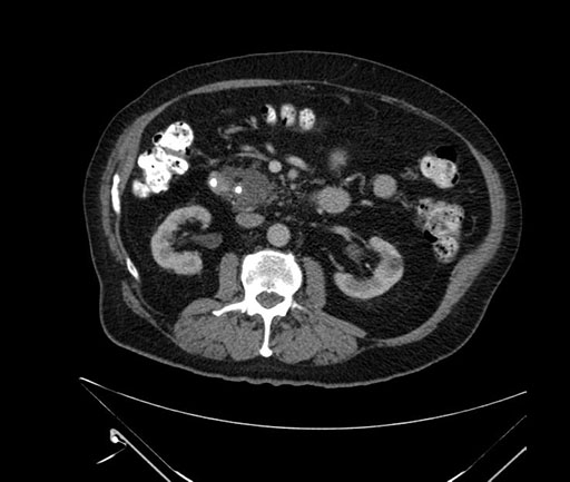
Imaging analysis

Based on your CT findings, which issue(s) would give reason for "planned slowing down moment(s)" in this case?
Considering a standard Whipple procedure, what step(s) of the operation would you do differently in this case?
<< Previous Next >>

Acknowledgements
Thank you to the HPB Surgeons who contribute their time and expertise. This content is made possible through educational grants from:

Case 1 - 27
AHPBA IHPBAIHPBA Foundation Ethicon

Case 28
IHPBA FoundationIHPBA

Views and opinions expressed in all videos and module content are those of the individual surgeon and solely intended for surgical education purposes. We do not endorse any product, treatment or therapy.

Corporate Partners

Angiodynamics logo
Baxter logo

If you are interested in becoming a Corporate Partner of the IHBPA please contact industry@ihpba.org

Find out more